Patología cardíaca
Insuficiencia mitral
La insuficiencia mitral consiste en el cierre inadecuado de la válvula mitral, lo que condiciona el paso retrógrado de sangre desde el ventrículo hacia la aurícula durante la sístole ventricular.
Se debe a patología del propio aparato valvular☤. Su causa más frecuente es el prolapso mitral☤.
Se debe a patología del propio aparato valvular☤. Su causa más frecuente es el prolapso mitral☤.
Fisiopatología
- Parte del volumen que debería expulsarse a la aorta pasa a la aurícula izquierda. Esto implica un menor gasto cardíaco por un menor volumen sistólico eyectado y conlleva una dilatación tanto de la aurícula izquierda como del ventrículo izquierdo.
- La severidad de los síntomas depende de una serie de factores☤.
- La insuficiencia mitral puede ser aguda o crónica:
- La severidad de los síntomas depende de una serie de factores☤.
- La insuficiencia mitral puede ser aguda o crónica:
Existe poco cambio en la compliance☤ auricular:
- Aumento brusco de la presión, con disminución del gradiente de presión aurícula-ventrículo.
- Producción rápida de congestión pulmonar.
- Urgencia vital.
- Desarrollo más gradual de la insuficiencia mitral.
- Dilatación☤ de la aurícula izquierda:
- Mayor volumen auricular con menor presión.
- No se eleva tanto la presión venocapilar.
- No suele aparecer edema pulmonar.
- La baja presión aumenta el flujo que regurgita.
- Dilatación del ventrículo izquierdo:
- Aumento del volumen telediastólico.
- Aumento de la fuerza de contracción☤.
- Asintomático. Descompensación a largo plazo.
Manifestaciones clínicas (según el grado de severidad)
- Disminuye el gasto cardíaco.
- Aumenta la presión en la aurícula izquierda.
- Insuficiencia cardíaca congestiva izquierda☤.
- Palpitaciones☤.
- Puede evolucionar a insuficiencia cardíaca congestiva derecha.
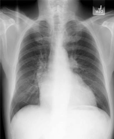
Pruebas complementarias
- Cardiomegalia☤ de cavidades izquierdas.
- Edema intersticial☤.
- Patrón venoso en "asta de ciervo"☤.
Tratamiento
Médico
Quirúrgico
- Insuficiencia mitral aguda:
- Favorecer la salida de sangre por la aorta:
- Vasodilatadores (nitroprusiato).
- Diuréticos.
- Balón de contrapulsación aórtica.
- Estabilización del paciente hasta que se pueda efectuar la cirugía.
- Favorecer la salida de sangre por la aorta:
- Insuficiencia mitral crónica:
- IECAs e hidralacina.
- Diuréticos.
- Digitálicos si hay insuficiencia cardíaca.
- Fibrilación auricular: digitálicos + anticoagulantes.
- Profilaxis antibiótica.
Quirúrgico
- Reparación o prótesis valvular:
- Si está sintomático (NYHA III-IV).
- Si tiene NYHA I-II, es aconsejable si se cumplen una serie de condiciones☤.
- Manual Amir de Cardiología y Cirugía cardíaca 4ª edición.
- Cardiología clínica. F.J. Chorro, V.L. Merino. Publicaciones UV.
- Braunwald’s Heart Disease.
- Netter: Cardiología. M.S. Range, M. Ohman.
- Making Sense of the EKG. Andrew R. Houghton. Henry Gray.
- Echocardiography. Nihoyannopoulos.
Última actualización: 9 de octubre de 2012



