Patología cardíaca
Miocardiopatía dilatada
Concepto
La miocardiopatía dilatada es una enfermedad del miocardio que consiste en dilatación ventricular y disminución de la función sistólica, conduciendo a insuficiencia cardíaca. Habitualmente afecta al ventrículo izquierdo, aunque en ocasiones también al derecho.
Etiología
Las principales causas de miocardiopatía dilatada son:
- Mutaciones que afectan a los genes de proteínas:
- Citoesqueléticas (desmina, distrofina ☤, metavinculina, etc.)
- Sarcoméricas o de las bandas Z (actina, β-miosina, etc.)
- Membrana nuclear (lámina A/C, etc.)
- Discos intercalares
- Miopatías de origen mitocondrial
- Miocarditis previa o persistente (infecciosa: virus Coxsackie B, Chagas, etc., tóxica, autoinmunitaria)
- Alcohol (miocardiopatía alcohólica)
- Arritmias crónicas no controladas (taquicardiomiopatía)
- Enfermedad de Kawasaki
- Enfermedad de Churg-Strauss
- Embarazo (miocardiopatía periparto)
- Tóxicos y fármacos (antraciclinas, ciclofosfamida, cocaína, etc.)
- Endocrinopatías (mixedema hipotiroideo)
- Víricas (VIH)
- Déficit nutricionales (carnitina, tiamina ☤, selenio ☤, hipofosfatemia e hipocalcemia)
Fisiopatología
Se ha de tener presente la ley de Laplace: la tensión que debe soportar la pared ha de ser directamente proporcional al radio de la cavidad e inversamente proporcional al espesor de la pared.
El ventrículo izquierdo de estos pacientes ha de soportar mayor tensión debido a:
Esto provoca disfunción cardíaca en ambos ventrículos, que conlleva la aparición de insuficiencia cardíaca.
- Dilatación ventricular (↑ radio).
- Adelgazamiento de la pared ventricular (↓ espesor de la pared).
Esto provoca disfunción cardíaca en ambos ventrículos, que conlleva la aparición de insuficiencia cardíaca.
Anatomía patológica
Alteraciones macroscópicas:
Alteraciones histológicas:
- El corazón suele estar agrandado, pesa más y tiene una consistencia blanda, debido a la dilatación de todas las cavidades.
- Los trombos parietales son frecuentes y son una fuente posible de émbolos.
- No existen alteraciones valvulares primarias, y cuando hay insuficiencia mitral (o tricuspídea), se relaciona con la dilatación sufrida por la cavidad ventricular.
Alteraciones histológicas:
- Son inespecíficas y no suelen señalar hacia ningún agente causal concreto.
Clínica
Afecta principalmente a individuos jóvenes, con predilección por el sexo masculino y la raza negra.
Esta enfermedad es el paradigma de la insuficiencia cardíaca con función sistólica deprimida, con todos los signos y síntomas propios de esa situación. ☤
- Síntomas de congestión pulmonar:
- Disnea de esfuerzo
- Ortopnea
- Tos nocturna
- Disnea paroxística nocturna
- Síntomas de congestión sistémica:
- Retención de líquidos (si predomina la IC derecha)
- Síntomas de bajo gasto cardíaco:
- Astenia, fatigabilidad
- Oliguria
Las embolias se producen con más frecuencia que en otras causas de insuficiencia cardíaca, probablemente en relación con la gran dilatación de las cámaras cardíacas.
Exploración física
Puede presentarse debilidad y desplazamiento hacia abajo y hacia afuera del impulso apical, así como tercer y/o cuarto ruidos, pulso alternante, datos de hipertensión pulmonar y fallo derecho en casos avanzados.
Frecuentemente existe soplo sistólico debido a insuficiencia mitral por dilatación del anillo valvular.
Frecuentemente existe soplo sistólico debido a insuficiencia mitral por dilatación del anillo valvular.
Exploraciones complementarias
Se debe solicitar:
- Función renal: iones y aclaramiento de creatinina.
- Hemograma, glucemia, lípidos, hormonas tiroideas.
- Función hepática: albúmina, enzimas hepáticos.
- Péptidos natriuréticos ☤: si están aumentados indican que posiblemente la disnea sea de origen cardiaco.
Es la prueba diagnóstica más valiosa y se ha de realizar siempre que se sospeche esta enfermedad.
Los hallazgos principales son los siguientes:
Otros hallazgos:
Los hallazgos principales son los siguientes:
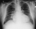
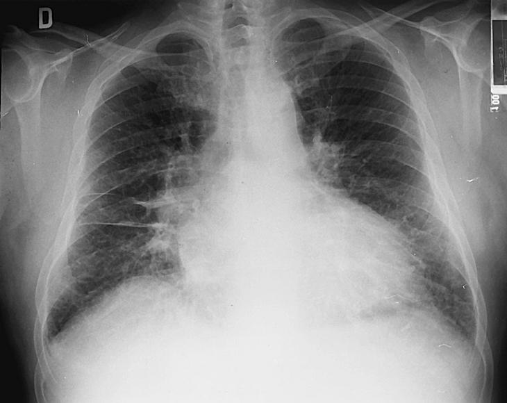
- Hallazgo típico: dilatación de las cavidades afectadas y su forma esferoidal, especialmente del ventrículo izquierdo.
- Las paredes están adelgazadas.
- Disminución difusa de la función contráctil.
- Pese a que la fracción de eyección suele estar baja, el gasto cardíaco en estos pacientes puede ser normal. Esto se debe a que los volúmenes de eyección están muy aumentados y además existe una taquicardia compensadora.
Otros hallazgos:
- Presencia de trombos en el ápex ventricular.
- Derrame pericárdico ligero.
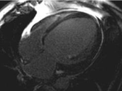
Ecocardiografía 2D. Marcada dilatación de las cavidades cardíacas.
Ecocardiografía modo M. Severa dilatación de los diámetros diastólicos (dd) y sistólicos (ds) del ventrículo izquierdo (VI) con pobre contractilidad.
Técnica doppler:
- Para valorar el flujo se utiliza el doppler color:
- Se detecta insuficiencia mitral, que suele ser ligera o moderada. No es la causa primaria de la miocardiopatía.
- Para valorar la función diastólica del VI se utiliza el doppler pulsado:
- Fase de protodiástole: se detecta una onda E muy prominente.
- Entra mucho flujo desde AI a VI.
- Se conoce como patrón restrictivo.
- Origina el tercer ruido
- Fase de telediástole: se contrae la AI y al final de la diástole hay un llenado que es el llenado telediastólico que con el doppler se detecta como onda A.
- Fase de protodiástole: se detecta una onda E muy prominente.
Doppler color
Doppler pulsado a nivel de la válvula mitral. El patrón observado es compatible con un patrón de llenado restrictivo, donde la onda E es más alta de lo normal y la onda A de menor tamaño.
Pronóstico
En general, los pacientes evolucionan progresivamente (aunque pueden permanecer asintomático durante un periodo prolongado) hacia la insuficiencia cardíaca avanzada. Es fundamental detectar las causas reversibles para retirarlas en caso de estar presentes.
La mortalidad al año es del 25% y al cabo de 5 años de más del 50%.
La mortalidad al año es del 25% y al cabo de 5 años de más del 50%.
- Pacientes con edad avanzada.
- Disnea grado 3-4 (disnea en reposo o esfuerzos mínimos).
- Pacientes con descompensaciones recurrentes (continuos reingresos).
- Variables de imagen cardiaca:
- Fracción de eyección baja.
- Dilatación del VD.
- Patrón de llenado restrictivo.
- Taquiarritmia ventricular.
- Variables de la analítica:
- Hiponatremia.
- Insuficiencia renal.
- Péptidos natriuréticos elevados.
Tratamiento
Puesto que en la mayoría de los casos no se identifica una causa reversible de la miocardiopatía dilatada, el tratamiento es sintomático y se basa en el control de las manifestaciones de la insuficiencia cardiaca y de las arritmias.
Actualmente no hay tratamiento específico que ofrezca cura, y lo único que ha mejorado el pronóstico a corto plazo de esta enfermedad es el trasplante cardiaco.
Actualmente no hay tratamiento específico que ofrezca cura, y lo único que ha mejorado el pronóstico a corto plazo de esta enfermedad es el trasplante cardiaco.
Adaptado de "Miocardiopatía dilatada" de A. Hernández Pons.
Haga click para consultar la bibliografía.
- Chorro Gascó FJ, García Civera R y López Merino V (eds.): Cardiología Clínica. Valencia, Universidad de Valencia, 2007.
- Chorro FJ (ed.): Ecocardiografía-Doppler, Valencia, Universitat de València, 2011.
- Jefferies JL, Towbin JA. Dilated cardiomyopathy. Lancet. 2010 Feb 27;375(9716):752-62.
- Longo DL, Fauci AS, Kasper, DL, Hauser, SL, Jameson JL, Loscalzo J. Harrison: Principios de Medicina Interna. 18ª edición. Mexico: McGraw-Hill Interamericana; 2012.
- Lopez R, Abad. Miguel J, Juretschck MA. Hemoptisis masiva secundaria a insuficiencia cardíaca en el contexto de una miocardiopatía dilatada. Arch Bronconeumol. 2001;37:289-90.
- Salguero Bodes, R. Manual CTO de Medicina y Cirugía: Cardiología y Cirugía Cardiovascular.
- www.secardioped.org
Última actualización: 20 de junio de 2013




